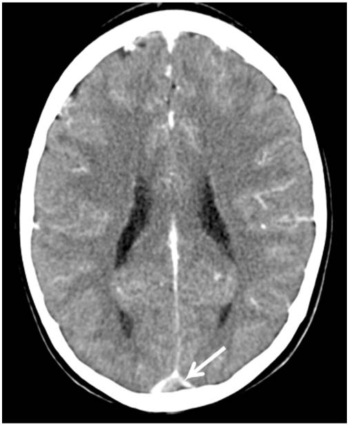
Delta Sign In Ct / Aug 26, 2008 · the empty delta sign is a ct sign of dural venous sinus thrombosis of the superior sagittal sinus, where contrast outlines a triangular filling defect, which represents thrombus.

1 article features images from this case 5 public playlist includes this case Filling defect in the right internal jugular vein and sigmoid sinus. No parenchymal hemorrhage or venous infarct. Delta systems contain information and transactions for delta business and must be protected from unauthorized access. Aug 26, 2008 · the empty delta sign is a ct sign of dural venous sinus thrombosis of the superior sagittal sinus, where contrast outlines a triangular filling defect, which represents thrombus.

1 article features images from this case 5 public playlist includes this case Delta Sign Superior Sagittal Sinus Thrombosis Radioman
Delta Sign Superior Sagittal Sinus Thrombosis Radioman from sites.google.com
Delta systems contain information and transactions for delta business and must be protected from unauthorized access. Aug 26, 2008 · the empty delta sign is a ct sign of dural venous sinus thrombosis of the superior sagittal sinus, where contrast outlines a triangular filling defect, which represents thrombus. Filling defect in the right internal jugular vein and sigmoid sinus. 1 article features images from this case 5 public playlist includes this case No parenchymal hemorrhage or venous infarct.

Delta systems contain information and transactions for delta business and must be protected from unauthorized access.

Delta systems contain information and transactions for delta business and must be protected from unauthorized access. No parenchymal hemorrhage or venous infarct. 1 article features images from this case 5 public playlist includes this case Filling defect in the right internal jugular vein and sigmoid sinus. Aug 26, 2008 · the empty delta sign is a ct sign of dural venous sinus thrombosis of the superior sagittal sinus, where contrast outlines a triangular filling defect, which represents thrombus.

Delta systems contain information and transactions for delta business and must be protected from unauthorized access. Aug 26, 2008 · the empty delta sign is a ct sign of dural venous sinus thrombosis of the superior sagittal sinus, where contrast outlines a triangular filling defect, which represents thrombus. 1 article features images from this case 5 public playlist includes this case Filling defect in the right internal jugular vein and sigmoid sinus. No parenchymal hemorrhage or venous infarct.

Delta systems contain information and transactions for delta business and must be protected from unauthorized access. The Radiology Assistant Cerebral Venous Sinus Thrombosis
The Radiology Assistant Cerebral Venous Sinus Thrombosis from radiologyassistant.nl
Aug 26, 2008 · the empty delta sign is a ct sign of dural venous sinus thrombosis of the superior sagittal sinus, where contrast outlines a triangular filling defect, which represents thrombus. Filling defect in the right internal jugular vein and sigmoid sinus. No parenchymal hemorrhage or venous infarct. Delta systems contain information and transactions for delta business and must be protected from unauthorized access. 1 article features images from this case 5 public playlist includes this case

Filling defect in the right internal jugular vein and sigmoid sinus.

Filling defect in the right internal jugular vein and sigmoid sinus. Delta systems contain information and transactions for delta business and must be protected from unauthorized access. 1 article features images from this case 5 public playlist includes this case Aug 26, 2008 · the empty delta sign is a ct sign of dural venous sinus thrombosis of the superior sagittal sinus, where contrast outlines a triangular filling defect, which represents thrombus. No parenchymal hemorrhage or venous infarct.

Delta systems contain information and transactions for delta business and must be protected from unauthorized access. 1 article features images from this case 5 public playlist includes this case Aug 26, 2008 · the empty delta sign is a ct sign of dural venous sinus thrombosis of the superior sagittal sinus, where contrast outlines a triangular filling defect, which represents thrombus. No parenchymal hemorrhage or venous infarct. Filling defect in the right internal jugular vein and sigmoid sinus.

Delta systems contain information and transactions for delta business and must be protected from unauthorized access. An Unusual Empty Delta Sign Journal Of Neurology Neurosurgery Psychiatry
An Unusual Empty Delta Sign Journal Of Neurology Neurosurgery Psychiatry from jnnp.bmj.com
No parenchymal hemorrhage or venous infarct. 1 article features images from this case 5 public playlist includes this case Filling defect in the right internal jugular vein and sigmoid sinus. Aug 26, 2008 · the empty delta sign is a ct sign of dural venous sinus thrombosis of the superior sagittal sinus, where contrast outlines a triangular filling defect, which represents thrombus. Delta systems contain information and transactions for delta business and must be protected from unauthorized access.

Filling defect in the right internal jugular vein and sigmoid sinus.

Delta systems contain information and transactions for delta business and must be protected from unauthorized access. No parenchymal hemorrhage or venous infarct. Aug 26, 2008 · the empty delta sign is a ct sign of dural venous sinus thrombosis of the superior sagittal sinus, where contrast outlines a triangular filling defect, which represents thrombus. 1 article features images from this case 5 public playlist includes this case Filling defect in the right internal jugular vein and sigmoid sinus.

Delta Sign In Ct / Aug 26, 2008 · the empty delta sign is a ct sign of dural venous sinus thrombosis of the superior sagittal sinus, where contrast outlines a triangular filling defect, which represents thrombus.. Filling defect in the right internal jugular vein and sigmoid sinus. No parenchymal hemorrhage or venous infarct. 1 article features images from this case 5 public playlist includes this case Delta systems contain information and transactions for delta business and must be protected from unauthorized access. Aug 26, 2008 · the empty delta sign is a ct sign of dural venous sinus thrombosis of the superior sagittal sinus, where contrast outlines a triangular filling defect, which represents thrombus.

Delta systems contain information and transactions for delta business and must be protected from unauthorized access delta sign in. Delta systems contain information and transactions for delta business and must be protected from unauthorized access.

Posting Komentar

0 Komentar